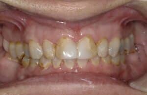
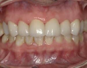
CHECK OUT OUR SMILE GALLERY
Below are images of actual, satisfied patients of West Mobile Dental Care's Dr. Schrader.
To learn more about Dr. Schrader. Read his bio here >
6207 Cottage Hill Rd Mobile, AL 36609
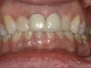
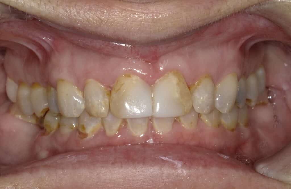
Below are images of actual, satisfied patients of West Mobile Dental Care's Dr. Schrader.
To learn more about Dr. Schrader. Read his bio here >